Zahnfleischästhetik
Für ein harmonisches und ästhetisches Lächeln
Terminvereinbarungssystem
Ein Terminbuchungssystem ist ein Service, der von Kliniken oder Gesundheitsorganisationen angeboten wird und in der Regel über eine Website oder mobile Anwendung zugänglich ist.
Einen Termin buchenKontaktieren Sie uns jetzt
+49 (0) 1522 2489434
Was ist Zahnfleischästhetik?
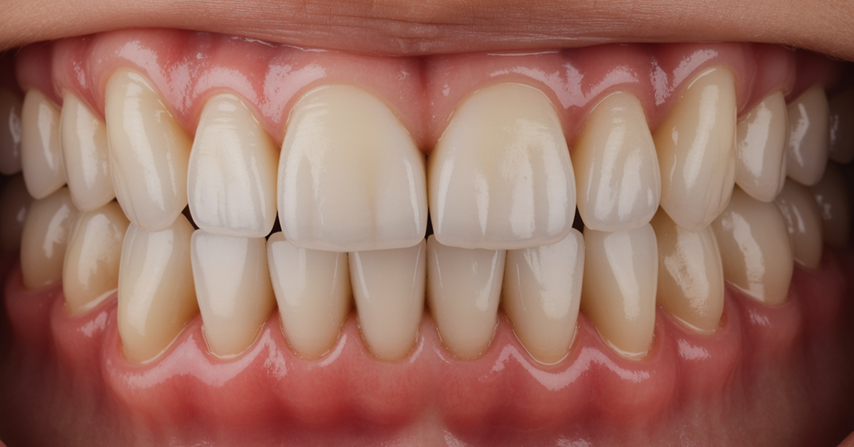
Das Zahnfleisch spielt eine entscheidende Rolle für die Gesamtwirkung Ihres Lächelns. Zu viel sichtbares Zahnfleisch (Gummy Smile), ungleichmäßige Zahnfleischverläufe oder zurückgehendes Zahnfleisch können das ästhetische Gesamtbild beeinträchtigen. Mit der Zahnfleischästhetik bei AntisyaMed schaffen wir eine harmonische Balance zwischen Zähnen, Lippen und Zahnfleisch – für ein natürlich schönes, selbstbewusstes Lächeln.
Zahnfleischästhetik umfasst verschiedene minimalinvasive Verfahren, die das Erscheinungsbild des Zahnfleisches korrigieren. Dazu gehören das Kürzen von übermäßigem Zahnfleisch, der Ausgleich asymmetrischer Verläufe und die Rekonstruktion von Zahnfleisch, das durch Rückgang verloren gegangen ist. Das Ziel ist eine ausgewogene, ästhetische Proportion zwischen Zahnfleisch und Zähnen, abgestimmt auf die natürliche Form Ihres Gesichtes.
Behandlungsoptionen bei AntisyaMed
Zu viel sichtbares Zahnfleisch beim Lächeln wird schonend reduziert – entweder mit Laser oder mikrochirurgischen Methoden.
Moderne Lasergeräte ermöglichen präzise, nahezu schmerzfreie Eingriffe mit schneller Heilung.
Unregelmäßige Linien werden präzise ausgeglichen, um ein einheitliches Bild zu schaffen.
Zurückgehendes Zahnfleisch kann rekonstruiert werden, um freiliegende Zahnhälse zu schützen und die Ästhetik zu verbessern.
Ablauf der Behandlung
Die Behandlung beginnt mit einer gründlichen Untersuchung in unserer Düsseldorfer Klinik, bei der Form, Verlauf und Proportion des Zahnfleisches exakt beurteilt werden. Anschließend wird festgelegt, welche Technik sich am besten eignet – Laser, mikrochirurgische Korrektur oder Aufbauverfahren. Die eigentliche Behandlung erfolgt in unseren spezialisierten Partnerkliniken in der Türkei oder je nach Eingriff in Düsseldorf. Nach dem Eingriff führen wir regelmäßige Kontrollen durch, um Heilung, Symmetrie und Ästhetik zu optimieren.
Warum AntisyaMed?
AntisyaMed steht für moderne ästhetische Medizin, höchste medizinische Standards und eine einzigartige Kombination aus deutscher Beratungskompetenz und türkischer Fachspezialisierung. In unserer Düsseldorfer Klinik begleiten wir unsere Patienten persönlich vor und nach jedem Eingriff, während die Behandlungen in unseren zertifizierten Partnerkliniken in der Türkei auf höchstem medizinischem Niveau durchgeführt werden.
